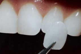
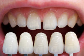
Carillas en Porcelana

Son laminas en porcelana que se realiza según la necesidad del paciente por medio de un procedimiento computarizado de los dientes frontales y además son más estéticos, resistentes y durables.

Odontologia_Estetica_JUCEP
  • Reserve su consulta

    Diligencie el formulario y nos pondremos en contacto para agendar su cita.

  • CONTACTO